中秋三连发之一 月光女神 影像学的满月传奇
首发微信平台

月光女神.在希腊语中,月亮被称为 men,与月亮衡量时间的功能有关,故而由它衍生出来的单词,如 measure 等均与度量有关;而拉丁语的「月亮」(luna),是指月亮的清澄或亮状态,现今英语中 lucency,就是指发亮、透明,lucid 是清楚的、易懂的。
在罗马纪年里面,Luna 就是月光女神,古罗马人在每年的 3 月 31 号跑到 Aventine 山上跳舞缉私这个满月女神。后来这个传统,被杀了亲爹并且一把火烧毁自己国家的尼禄同学终止了。

(满月女神吐槽,禄禄不听话,怪我呢?)
后来 Luna,也指一种月圆之夜翩翩起舞的荧光的蛾子。Luna Moth, (Actias luna) 这是一种大型的蛾子。它的翅膀上有那种眼睛的点点。

(我是月蛾,不是月饼……)
我们看看医学上的 lucency 是什么?
检测信号(X 线,超声等)穿透厚度相等的不同密度组织结构时,由于吸收程度不同,在 X 射线片上或荧屏上显出具有黑白 (或明暗) 对比、层次差异的影像,我们称为透亮影/晕环,看上去很像月蛾的点点。不同的检测手法,对应不同的组织特点,lucency 的表现意义均不相同。
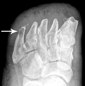
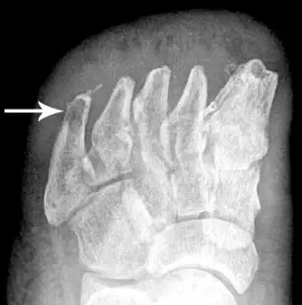
1. 引用糖尿病人的骨髓炎为例子:

第五跖骨的透亮影,提示骨髓炎

2. 同样病人的 MRI T1 相,j 箭头显示因为骨髓炎继发的水肿导致骨髓密度降低 B. 同一病人的 T2-相骨髓高密度,j 箭头显示皮肤溃疡,虚线箭头显示软组织增生;
3. 99mTc-MDP 骨扫描第三期,第五跖骨对放射剂的吸收增强;
可见不同的检测手法,对应不同的组织特点,lucency 的表现意义均不相同。这里就 X-ray 超声和 CT 中常见的 lucency 对应的疾病和诊断做个简单的小结:
1. X-ray 透亮影 lucency
X-ray 中低密度区较少的吸收射线,相对高密度人体组织的白影就形成透亮的边界,称为低密度的透亮影 lucency。
1.1 多发性骨髓瘤的头骨

骨髓瘤细胞在骨髓中增生,刺激由基质细胞衍变而来的成骨细胞过度表达 IL-6,激活破骨细胞,导致骨质疏松及溶骨性破坏。骨痛为常见症状,随病情发展而加重。
1.2 骨髓炎的溶骨透亮影

患者男,7 岁,于 2015 年 3 月 8 日无明显诱因出现左小腿肿痛,发热。诊断胫腓骨骨髓炎,伴胫骨上段、腓骨下段病理性骨折。
2. B 超上胎儿颈项透明层 Nuchal Lucency 和晕环征 perivascular lucency
2.1 B 超上胎儿颈项透明层 Nuchal Lucency
新生儿检查用到的,颈部皮下厚度的 Nuchal Lucency 筛查试验。异常提示染色体病变。

NT 值,即胎儿颈项透明层厚度(nuchal translucency),是指胎儿颈后部皮下组织内液体的积聚。
14 周后胎儿淋巴系统发育完全,胎儿颈项部积聚的液体迅速引流,超声不易观察到「透明层」,故其测量的孕周有严格的规定,在妊娠 11-14 周进行。正常妊娠 11-14 周颈项透明层厚度,凡测值小于 2.5 mm 时判断为正常,凡测值大于 2.5 mm 时诊断为颈项透明层增厚。
NT 增厚程度与胎儿异常的关系十分密切,增厚越明显,胎儿异常机会越高,异常程度也越严重。NT 增厚者中,约 10% 合并染色体异常,而在染色体正常的 NT 增厚者中约 4-20% 存在解剖结构异常或某些遗传综合征,尤其严重的心脏缺损,还有一些则出现原因不明的胎死宫内和新生儿死亡。
对增厚者的进一步检查,如染色体检查、DNA 分析、妊娠 18-22 周详细重点超声检查,提高胎儿畸形检出率,指导临床作出正确处理。
2.2 B 超上的「晕环征」(perivascular lucency, PVL)。
又称声晕,即节结周边 2-3 mm 低回声环,其形成的机理切确原因尚不清楚,有研究说明,生长较慢的肿块,挤压周围组织后形成一种界面反射所致。肿物生长的快慢,是否有浸润,将影响晕环的出现,当然也有例外,有人认为晕环是出血、水肿及炎症反应,包绕正常组织所致。
2.2.1 甲状腺晕征多为良性,提示结节性甲状腺肿:


女,52 岁,发现左侧颈部肿大一月,无明显不适。超声检查示右侧甲状腺。形态较规则,边界尚清晰,内部回声分布不均匀,有粗大钙化及纤维组织增生形成得强回声光点或条,CDFI 示周边点条状血流信号及内部无明确血流信号。能量图示肿块周边见较丰富的血流信号,内部血流稀少,呈低速低阻型。病理诊断:结节性甲状腺肿。
2.2.2 肝晕征多为恶性,提示肿瘤。肝内可见大小不一的实性低回声结节, 边界清, 边缘尚规整, 呈圆形或椭圆形, 周边有低回声声晕, 部分结节呈牛眼征, 部分结节周围血管饶行。



男,80 岁。自觉右上腹痛,腹胀,食欲减退 2 个多月,近感乏力,明显消瘦。无呕吐,无腹泻。检查:神清,皮肤及巩膜无黄疸。
超声所见:肝切面形态尚正常,肝内回声不均匀,于肝左右两叶内均可见多个大小不等的较低回声包块,最大一个位于肝右叶,约 37×32 mm的,最小一个位于肝左叶约 15×14 mm,形状呈圆形,内部为低回声,分布不均质,边缘清楚,周围有低回声声晕,小的包块周边见「牛眼征」,后方回声无变化。
较大的包块周边肝内管道结构有绕行、屈曲改变。门脉内径约为 11 mm。 CDFI:包块内部见血流,周边血流丰富,Vs:62cm/s。 RI:0.72.
3.CT图像
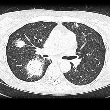
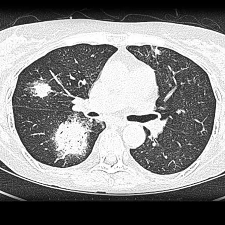
3.1 肺晕征是肺内结节或肿块周围的磨玻璃密度区。
这种表现用来描述侵袭性曲霉菌病患者。
在严重中性粒细胞减少患者,富血管肿瘤的肺转移瘤可以表现为磨玻璃样晕,最有可能是继发于易碎的肿瘤血管组织的病灶周围出血。
这种 CT 表现可出现在血管肉瘤、绒毛膜癌和骨肉瘤的肺转移患者中。肺卡波西肉瘤在胸部CT上典型表现为边界不清(火焰样)的结节影,主要沿周围支气管血管束分布。
该病有时在 CT 上表现为多中心的磨玻璃密度影或伴有晕征的结节影。
韦格纳肉芽肿病,一种累及呼吸道的坏死性血管炎,可以表现为伴有肺出血,然后形成晕征。
行支气管透壁活检的患者可形成肺内结节,部分病例可见晕征在 CT 图像上磨玻璃影,继发于肺损伤的出血有关。晕征一般认为提示结节出血,肿瘤或炎症细胞浸润肺实质可以出现晕征。
支气管肺泡癌患者中,在 CT 图像上也见到晕征。肺外腺癌肺内转移患者,也可出现晕征,晕征还可出现在嗜酸性肺炎、闭塞性细支气管炎机化性肺炎、结核 和禽分支杆菌复合体、伯纳特柯克斯体( Q 热的病原体)、巨细胞病毒、单纯疱疹病毒、粘液病毒感染的患者。
部分结核患者在 CT 图像上表现为单发结节伴晕征, 胸内淋巴组织增生症患者也显示晕征。 CT 上磨玻璃影由非特异性间质炎症和坏死的肿瘤核心周围阻塞后内源性脂质沉积混合构成。
3.1.1 肺肉芽肿

38 岁男患,体检发现左肺下叶周边肿物 1 周。既往体健,无临床症状,各项生化检查无异常。患者最终选择开胸探查,行肿物局部切除,肿物质地脆,剖面灰黄色,略呈磨砂样改变,未见明确干酪样坏死。 病理回报:见多个肉芽肿结节形成,周围见大量上皮样细胞,朗汉斯细胞及淋巴细胞增生。诊断:肉芽肿性炎,考虑结核。
3.1.2 肺曲霉菌感染

高分辩 CT 晕征(Halo sign)指中心结节或肿块周围环形毛玻璃样变或密度略低(与中心比)的区域。. 提示免疫功能低下者曲霉菌感染,常见于非血缘干细胞移植后。
3.1.3 隐性机化性肺炎

本图为隐性机化性肺炎(cryptogenic organizing pneumonia)的特异性征象。隐性机化性肺即特发性闭塞性细支气管炎伴机化性肺炎(BOOP)。隐性机化性肺炎的影像改变有毛玻璃样变 90%、实变 87% ,反晕征 19% 但对诊断有特异性
3.2 肝晕征是肝癌 CT 征象之一,晕征与肝癌的包膜有关, 包膜由肉芽组织和许多小血管组成, 包膜内血流较肿瘤内血流缓慢, 因此, 在动脉早期,瘤体明显增强,而包膜尚未强化, 在动脉晚期, 瘤体密度降低,而包膜继续保持高密度,这是肝癌特征性征象之一。


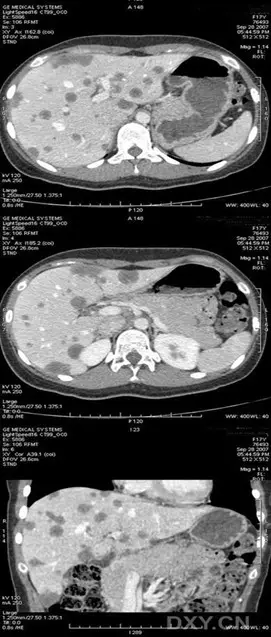
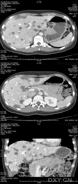
女性,17 岁。反复右侧腹部疼痛,再发伴加剧 1 周。素健,无疫区、疫水接触史。生化全套无异常。影像:CT 肝内多发大小不等类圆形低密度影,边界清楚,内密度上均匀;
MR 平扫 T1 加权像呈低信号,T2 加权像呈高信号及稍高信号影,增强后病灶可见环形强化,部分可见少量造影剂进入。诊断:肝上皮样血管内皮瘤;本病是一种少见的血管源性肿瘤,多发生在软组织以及肺、骨、脑、及小肠等脏器,原发于肝脏者非常少见。
本病是一种属于中度或低度恶性肿瘤,恶性程度介于肝血管瘤与肝细胞癌、肝血管肉瘤之间,生长缓慢,转移率低,总体发生率为 27%-45%,其中最常见的是转移到肺部,预后相对较好,肿瘤多位于肝脏的周边区域,肝脏包膜无膨隆。
CT 平扫为低密度影,病灶中心更低密度,约 20% 病灶可有钙化,增强后动脉期主要表现为周边强化为主,延迟后肿瘤实质内造影剂进入,而中央低密度区无强化。MRI 显示肿瘤 T1W1 呈低信号,T2W1 呈高信号,伴低信号晕圈。而凝固坏死、散在出血区呈低信号。肝动脉造影显示肿瘤血管丰富,肝包膜下病灶可呈「碗状」着色。
病理诊断仍是本病诊断的金标准.
Reference
https://commons.wikimedia.org/wiki/Actias_luna
http://www.mghradrounds.org/index.php?src=gendocs&link=2006_june
http://myweb.lsbu.ac.uk/dirt/museum/p1-345.html
http://guke.dxy.cn/bbs/topic/31659406
http://www.fetal.com/NT%20Screening/02%20NT%20Imaging.html
http://www.nmji.in/archives/Volume_19_5_Sep_Oct_2006/Everyday_Practice_new/every_day_practice.htm
http://www.dxy.cn/bbs/thread/3573748#3573748
http://www.dxy.cn/bbs/thread/9880785#9880785 http://img.dxy.cn/upload/2005/07/10/72229173.jpg
http://chest.dxy.cn/bbs/topic/24509231
http://radiopaedia.org/articles/halo-sign-chest-3
http://Radiology.dxy.cn/bbs/thread/205150
http://Radiology.dxy.cn/bbs/topic/31162999
http://www.dxy.cn/bbs/thread/11279196#11279196
http://www.dxy.cn/bbs/thread/12057993#12057993
http://www.dxy.cn/bbs/thread/9795017#9795017

月光女神.在希腊语中,月亮被称为 men,与月亮衡量时间的功能有关,故而由它衍生出来的单词,如 measure 等均与度量有关;而拉丁语的「月亮」(luna),是指月亮的清澄或亮状态,现今英语中 lucency,就是指发亮、透明,lucid 是清楚的、易懂的。
在罗马纪年里面,Luna 就是月光女神,古罗马人在每年的 3 月 31 号跑到 Aventine 山上跳舞缉私这个满月女神。后来这个传统,被杀了亲爹并且一把火烧毁自己国家的尼禄同学终止了。
(满月女神吐槽,禄禄不听话,怪我呢?)
后来 Luna,也指一种月圆之夜翩翩起舞的荧光的蛾子。Luna Moth, (Actias luna) 这是一种大型的蛾子。它的翅膀上有那种眼睛的点点。
(我是月蛾,不是月饼……)
我们看看医学上的 lucency 是什么?
检测信号(X 线,超声等)穿透厚度相等的不同密度组织结构时,由于吸收程度不同,在 X 射线片上或荧屏上显出具有黑白 (或明暗) 对比、层次差异的影像,我们称为透亮影/晕环,看上去很像月蛾的点点。不同的检测手法,对应不同的组织特点,lucency 的表现意义均不相同。
1. 引用糖尿病人的骨髓炎为例子:
第五跖骨的透亮影,提示骨髓炎
2. 同样病人的 MRI T1 相,j 箭头显示因为骨髓炎继发的水肿导致骨髓密度降低 B. 同一病人的 T2-相骨髓高密度,j 箭头显示皮肤溃疡,虚线箭头显示软组织增生;
3. 99mTc-MDP 骨扫描第三期,第五跖骨对放射剂的吸收增强;
可见不同的检测手法,对应不同的组织特点,lucency 的表现意义均不相同。这里就 X-ray 超声和 CT 中常见的 lucency 对应的疾病和诊断做个简单的小结:
1. X-ray 透亮影 lucency
X-ray 中低密度区较少的吸收射线,相对高密度人体组织的白影就形成透亮的边界,称为低密度的透亮影 lucency。
1.1 多发性骨髓瘤的头骨
骨髓瘤细胞在骨髓中增生,刺激由基质细胞衍变而来的成骨细胞过度表达 IL-6,激活破骨细胞,导致骨质疏松及溶骨性破坏。骨痛为常见症状,随病情发展而加重。
1.2 骨髓炎的溶骨透亮影
患者男,7 岁,于 2015 年 3 月 8 日无明显诱因出现左小腿肿痛,发热。诊断胫腓骨骨髓炎,伴胫骨上段、腓骨下段病理性骨折。
2. B 超上胎儿颈项透明层 Nuchal Lucency 和晕环征 perivascular lucency
2.1 B 超上胎儿颈项透明层 Nuchal Lucency
新生儿检查用到的,颈部皮下厚度的 Nuchal Lucency 筛查试验。异常提示染色体病变。

NT 值,即胎儿颈项透明层厚度(nuchal translucency),是指胎儿颈后部皮下组织内液体的积聚。
14 周后胎儿淋巴系统发育完全,胎儿颈项部积聚的液体迅速引流,超声不易观察到「透明层」,故其测量的孕周有严格的规定,在妊娠 11-14 周进行。正常妊娠 11-14 周颈项透明层厚度,凡测值小于 2.5 mm 时判断为正常,凡测值大于 2.5 mm 时诊断为颈项透明层增厚。
NT 增厚程度与胎儿异常的关系十分密切,增厚越明显,胎儿异常机会越高,异常程度也越严重。NT 增厚者中,约 10% 合并染色体异常,而在染色体正常的 NT 增厚者中约 4-20% 存在解剖结构异常或某些遗传综合征,尤其严重的心脏缺损,还有一些则出现原因不明的胎死宫内和新生儿死亡。
对增厚者的进一步检查,如染色体检查、DNA 分析、妊娠 18-22 周详细重点超声检查,提高胎儿畸形检出率,指导临床作出正确处理。
2.2 B 超上的「晕环征」(perivascular lucency, PVL)。
又称声晕,即节结周边 2-3 mm 低回声环,其形成的机理切确原因尚不清楚,有研究说明,生长较慢的肿块,挤压周围组织后形成一种界面反射所致。肿物生长的快慢,是否有浸润,将影响晕环的出现,当然也有例外,有人认为晕环是出血、水肿及炎症反应,包绕正常组织所致。
2.2.1 甲状腺晕征多为良性,提示结节性甲状腺肿:


女,52 岁,发现左侧颈部肿大一月,无明显不适。超声检查示右侧甲状腺。形态较规则,边界尚清晰,内部回声分布不均匀,有粗大钙化及纤维组织增生形成得强回声光点或条,CDFI 示周边点条状血流信号及内部无明确血流信号。能量图示肿块周边见较丰富的血流信号,内部血流稀少,呈低速低阻型。病理诊断:结节性甲状腺肿。
2.2.2 肝晕征多为恶性,提示肿瘤。肝内可见大小不一的实性低回声结节, 边界清, 边缘尚规整, 呈圆形或椭圆形, 周边有低回声声晕, 部分结节呈牛眼征, 部分结节周围血管饶行。



男,80 岁。自觉右上腹痛,腹胀,食欲减退 2 个多月,近感乏力,明显消瘦。无呕吐,无腹泻。检查:神清,皮肤及巩膜无黄疸。
超声所见:肝切面形态尚正常,肝内回声不均匀,于肝左右两叶内均可见多个大小不等的较低回声包块,最大一个位于肝右叶,约 37×32 mm的,最小一个位于肝左叶约 15×14 mm,形状呈圆形,内部为低回声,分布不均质,边缘清楚,周围有低回声声晕,小的包块周边见「牛眼征」,后方回声无变化。
较大的包块周边肝内管道结构有绕行、屈曲改变。门脉内径约为 11 mm。 CDFI:包块内部见血流,周边血流丰富,Vs:62cm/s。 RI:0.72.
3.CT图像
3.1 肺晕征是肺内结节或肿块周围的磨玻璃密度区。
这种表现用来描述侵袭性曲霉菌病患者。
在严重中性粒细胞减少患者,富血管肿瘤的肺转移瘤可以表现为磨玻璃样晕,最有可能是继发于易碎的肿瘤血管组织的病灶周围出血。
这种 CT 表现可出现在血管肉瘤、绒毛膜癌和骨肉瘤的肺转移患者中。肺卡波西肉瘤在胸部CT上典型表现为边界不清(火焰样)的结节影,主要沿周围支气管血管束分布。
该病有时在 CT 上表现为多中心的磨玻璃密度影或伴有晕征的结节影。
韦格纳肉芽肿病,一种累及呼吸道的坏死性血管炎,可以表现为伴有肺出血,然后形成晕征。
行支气管透壁活检的患者可形成肺内结节,部分病例可见晕征在 CT 图像上磨玻璃影,继发于肺损伤的出血有关。晕征一般认为提示结节出血,肿瘤或炎症细胞浸润肺实质可以出现晕征。
支气管肺泡癌患者中,在 CT 图像上也见到晕征。肺外腺癌肺内转移患者,也可出现晕征,晕征还可出现在嗜酸性肺炎、闭塞性细支气管炎机化性肺炎、结核 和禽分支杆菌复合体、伯纳特柯克斯体( Q 热的病原体)、巨细胞病毒、单纯疱疹病毒、粘液病毒感染的患者。
部分结核患者在 CT 图像上表现为单发结节伴晕征, 胸内淋巴组织增生症患者也显示晕征。 CT 上磨玻璃影由非特异性间质炎症和坏死的肿瘤核心周围阻塞后内源性脂质沉积混合构成。
3.1.1 肺肉芽肿

38 岁男患,体检发现左肺下叶周边肿物 1 周。既往体健,无临床症状,各项生化检查无异常。患者最终选择开胸探查,行肿物局部切除,肿物质地脆,剖面灰黄色,略呈磨砂样改变,未见明确干酪样坏死。 病理回报:见多个肉芽肿结节形成,周围见大量上皮样细胞,朗汉斯细胞及淋巴细胞增生。诊断:肉芽肿性炎,考虑结核。
3.1.2 肺曲霉菌感染
高分辩 CT 晕征(Halo sign)指中心结节或肿块周围环形毛玻璃样变或密度略低(与中心比)的区域。. 提示免疫功能低下者曲霉菌感染,常见于非血缘干细胞移植后。
3.1.3 隐性机化性肺炎
本图为隐性机化性肺炎(cryptogenic organizing pneumonia)的特异性征象。隐性机化性肺即特发性闭塞性细支气管炎伴机化性肺炎(BOOP)。隐性机化性肺炎的影像改变有毛玻璃样变 90%、实变 87% ,反晕征 19% 但对诊断有特异性
3.2 肝晕征是肝癌 CT 征象之一,晕征与肝癌的包膜有关, 包膜由肉芽组织和许多小血管组成, 包膜内血流较肿瘤内血流缓慢, 因此, 在动脉早期,瘤体明显增强,而包膜尚未强化, 在动脉晚期, 瘤体密度降低,而包膜继续保持高密度,这是肝癌特征性征象之一。

女性,17 岁。反复右侧腹部疼痛,再发伴加剧 1 周。素健,无疫区、疫水接触史。生化全套无异常。影像:CT 肝内多发大小不等类圆形低密度影,边界清楚,内密度上均匀;
MR 平扫 T1 加权像呈低信号,T2 加权像呈高信号及稍高信号影,增强后病灶可见环形强化,部分可见少量造影剂进入。诊断:肝上皮样血管内皮瘤;本病是一种少见的血管源性肿瘤,多发生在软组织以及肺、骨、脑、及小肠等脏器,原发于肝脏者非常少见。
本病是一种属于中度或低度恶性肿瘤,恶性程度介于肝血管瘤与肝细胞癌、肝血管肉瘤之间,生长缓慢,转移率低,总体发生率为 27%-45%,其中最常见的是转移到肺部,预后相对较好,肿瘤多位于肝脏的周边区域,肝脏包膜无膨隆。
CT 平扫为低密度影,病灶中心更低密度,约 20% 病灶可有钙化,增强后动脉期主要表现为周边强化为主,延迟后肿瘤实质内造影剂进入,而中央低密度区无强化。MRI 显示肿瘤 T1W1 呈低信号,T2W1 呈高信号,伴低信号晕圈。而凝固坏死、散在出血区呈低信号。肝动脉造影显示肿瘤血管丰富,肝包膜下病灶可呈「碗状」着色。
病理诊断仍是本病诊断的金标准.
Reference
https://commons.wikimedia.org/wiki/Actias_luna
http://www.mghradrounds.org/index.php?src=gendocs&link=2006_june
http://myweb.lsbu.ac.uk/dirt/museum/p1-345.html
http://guke.dxy.cn/bbs/topic/31659406
http://www.fetal.com/NT%20Screening/02%20NT%20Imaging.html
http://www.nmji.in/archives/Volume_19_5_Sep_Oct_2006/Everyday_Practice_new/every_day_practice.htm
http://www.dxy.cn/bbs/thread/3573748#3573748
http://www.dxy.cn/bbs/thread/9880785#9880785 http://img.dxy.cn/upload/2005/07/10/72229173.jpg
http://chest.dxy.cn/bbs/topic/24509231
http://radiopaedia.org/articles/halo-sign-chest-3
http://Radiology.dxy.cn/bbs/thread/205150
http://Radiology.dxy.cn/bbs/topic/31162999
http://www.dxy.cn/bbs/thread/11279196#11279196
http://www.dxy.cn/bbs/thread/12057993#12057993
http://www.dxy.cn/bbs/thread/9795017#9795017
Comments
Post a Comment